Size: a a a

Нейрохирургия

2017 December 19
Нейрохирургия
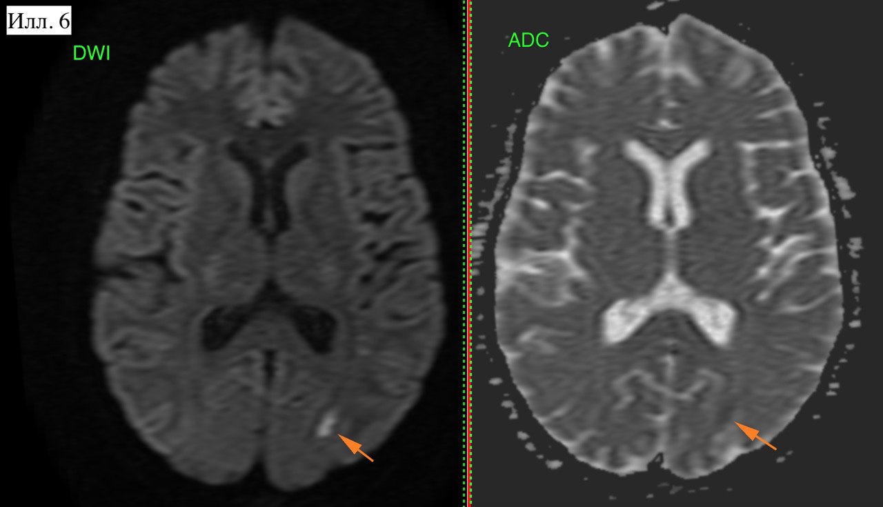
Илл. 6. Стрелкой указан очаг цитотоксического отека: высокий сигнал на DWI и низкий на ADC. Т.е. очаг острого ишемического инсульта
источник
Нейрохирургия
Презентация по ЗОЭ
источник
Нейрохирургия
Статья, в которой приведен ложный пример ЗОЭ (PRES). Обзор литературы по теме тоже дан с ошибками. Это не читать! Берем друзей, подруг и в кабак
источник
2017 December 23
Нейрохирургия
Basic and clinical neurology Congress от Медача, ребят!

Трансляция из первого зала: https://youtu.be/QYgyPHS9lDo

Трансляция из второго зала: https://youtu.be/fo08i1aXh98

Отличного времяпрепровождения в выходные! Всех люблю. До завтра.
источник
2017 December 24
Нейрохирургия
Переслано от neuroway EGM
#neurosurgery #Functional_neurosurgery Textbook of stereotactic and functional Neurosurgery
источник
Нейрохирургия
Переслано от neuroway EGM
источник
Нейрохирургия
Комы и нарушения сознания (Сергеев Д.)
https://photos.app.goo.gl/LWGnkB8ILNm3Nk9P2
источник
2017 December 28
Нейрохирургия
Слышали про предположение о том, что глиальные рубцы на самом деле помогают расти аксонам, а не наоборот? Просмотрите работу вкратце: http://neuronovosti.ru/naturesci76-glialscare/
источник
2017 December 30
Нейрохирургия
Переслано от Sardor Shodiev
Autonomic Nervous System - Daniel Pedro Cardinali
источник
Нейрохирургия
Переслано от Sardor Shodiev
Neuroanatomy for the Neuroscientist-Stanley JacobsonElliott M. MarcusStanley Pugsley
источник
Нейрохирургия
Переслано от Sardor Shodiev
Neurodegenerative Diseases-Philip BeartMichael RobinsonMarcus RattrayNicholas J. Maragakis
источник
Нейрохирургия
Переслано от Sardor Shodiev
Neuroprotective Therapy for Stroke and Ischemic Disease - Paul A. LapchakJohn H. Zhang
источник
Нейрохирургия
Интересные случаи в нейрорадиологии. Автор: Андрей Цориев

https://youtu.be/9bvN-oqC5oU
источник
2018 January 06
Нейрохирургия
Функциональная анатомия коры и проводящих путей мозга https://www.youtube.com/watch?v=z0nk_bge1ig
От Горяйнова Сергея Алексеевича - нейрохирурга, к.м.н., н.с. ФГАУ НМИЦ нейрохирургии им. ак. Н.Н. Бурденко.
источник
Нейрохирургия
Переслано от NIGINA
источник
Нейрохирургия
Переслано от NIGINA
источник
Нейрохирургия
Переслано от Andrii Mangov
Это Киари II (Chiari) мальформация в сочетании с недоразвитием мозолистого тела в области тела и валика и срединной арахноидальной кистой. Спинальная дизрафия внизу должна быть практически всегда.
источник
2018 January 08
Нейрохирургия
3D-модель мозга человека в ультра-высоком разрешении от Atelier3D Viewer. Срезы в 20 микрон!

https://vk.com/video11200862_456239123
источник
Нейрохирургия
Здесь https://vk.com/topic-88115113_36718964 обсуждаются актуальные вопросы ординатуры по нейрохирургии
источник
2018 January 09
Нейрохирургия
YouTube
Операция. Удаление менингиомы турецкого седла. Нейрохирургия
#Нейрохирургия #Менингиома #Трепанация

Менингиомы бугорка турецкого седла представляют собой доброкачественные опухоли, развивающиеся из арахноидальных ворсинок, расположенных в области sinus intercavernosus anterior (передний межпещеристый синус). Менингиомы бугорка турецкого седла, учитывая их анатомическое расположение и близость к важным нейроваскулярным структурам, являются сложными для удаления образованиями основания черепа. Они составляют 4 - 10% всех внутричерепных менингиом. Эти опухоли в большинстве случаев расположены по средней линии над турецким седлом, смещая хиазму зрительных нервов кзади и кверху, а зрительные нервы латерально. Таким образом, они могут локализоваться перед хиазмой или под ней. Прорастание менингиом бугорка турецкого седла в просвет зрительного канала встречается в 67 - 77% случаев.

Наиболее распространенным клиническим проявлением этих образований являются головная боль и прогрессирующее снижение  зрения, что и является показанием к операции.

Для подтверждения диагноза менингиомы…
источник