Size: a a a

Нейрохирургия

2017 December 08
Нейрохирургия
источник
Нейрохирургия
источник
Нейрохирургия
МРТ. Энцефалоцеле (черепно- мозговая грыжа- справа виден мешок, содержащий мозговые оболочки, ликвор и  участок ткани).
Новорожденный, срок гестации 34 недели, родоразрешение путем кесарева сечения.
источник
2017 December 09
Нейрохирургия
Это очень интересно. Как устроен мозг и разум? Люди это роботы? Ответы от лидера в исследованиях нейробиологии.
источник
Нейрохирургия
источник
2017 December 14
Нейрохирургия
Отличие субдуральной и эпидуральной гематом головного мозга
источник
Нейрохирургия
Эпидуральная гематома (в "форме лимона")
источник
Нейрохирургия
Судбуральная гематома (в "форме банана")
источник
Нейрохирургия
источник
2017 December 15
Нейрохирургия
Переслано от Fouad Garaty
источник
Нейрохирургия
Переслано от Sanjay P Yadav
источник
2017 December 16
Нейрохирургия
На следующей неделе! В Москве... РУНЕЙРО
http://schedule.runeuro.ru/
источник
2017 December 17
Нейрохирургия
Материалы по нейровизуализации
http://vk.com/topic-88115113_33273825
источник
2017 December 19
Нейрохирургия
Случай 123. #КТ #МРТ #мозг #ОбучающиеМатериалы #СложныйСлучай
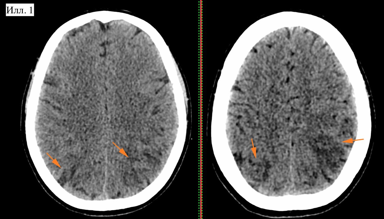
    Пациентка Ф., 28 лет. Родильница, с диагнозом «тяжелая преэклампсия». После родов на фоне скачка артериального давления стала жаловаться на слабость, сонливость. Очаговой симптоматики на момент поступления в кабинет КТ не определяли. КТ вызвал ряд вопросов (илл. 1). Определяется несколько зон сниженной плотности в корковых отделах теменно-затылочных зон с обеих сторон (стрелки).
    Поскольку множественность поражения сразу не была идентифицирована, то возникло подозрение на опухолевое поражение левой теменно-затылочной зоны. В связи с чем практически сразу была выполнена МРТ (илл. 2-4) где определяются множественные очаги вазогенного отека в субкортикальном белом веществе, преимущественно задних отделов мозга. То, что нет цитотоксического отека, можно уверенно сказать по данным ADC (илл. 3). Собственно, это достаточно типичная картина задней обратимой энцефалопатии (ЗОЭ, или PRES), которая и является морфологическим субстратом пре- и эклампсии, а также острой гипертензионной энцефалопатии.
источник
Нейрохирургия
Илл. 1. КТ иллюстрирует множественные фокусы снижения плотности
источник
Нейрохирургия
Илл. 2. То же на МРТ
источник
Нейрохирургия
Илл. 3. Зоны повышения сигнала на DWI согласуются с повышением сигнала и на ADC. Т.е. это очаги вазогенного отека
источник
Нейрохирургия
Илл. 4
источник
Нейрохирургия
Случай 123-продолжение. #КТ #МРТ #мозг #ОбучающиеМатериалы #СложныйСлучай
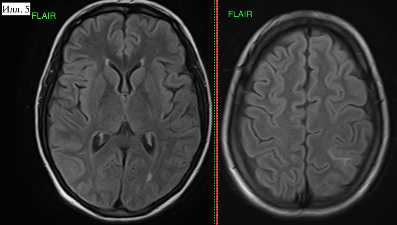
   Состояние обратимое при своевременной коррекции АД, что и продемонстрировала контрольная МРТ через 5 суток (илл. 5 и 6). При массивном поражении и/или не эффективном лечении возможен переход отдельных очагов в ишемические инсульты (стрелки на илл. 6). В данном случае, речь не идет об отрицательной динамике. ЗОЭ была и разрешилась, единичные мелкие инфаркты - это самостоятельное явление, спровоцированное ЗОЭ, но не являющееся его частью.
    Картина весьма типичная, если правильно учитывать клинико-анамнестические данные. Гриф «СложныйСлучай» в заголовке данного поста после данного примера, надеюсь, будет условным.
    Чтобы лучше узнать об этой патологии, рекомендую обратиться к литературе. Об этом написано очень много. Правда, наиболее толково - на английском. Ниже прикладываю файл презентации на данную тему. На всякий случай также ниже привожу ссылку на статью, которую читать НЕ НАДО. В ней приводится наблюдение, которое ни в коей мере не является ЗОЭ.
источник
Нейрохирургия
Илл. 5. Та же пациентка через 5 суток. Остались отедльные участки отека - сформировавшиеся очаги ОНМК
источник