Size: a a a

Radiology/Рентгенология Чат

2021 December 20

K

Konstantin in Radiology/Рентгенология Чат
источник

K

Konstantin in Radiology/Рентгенология Чат
источник

K

Konstantin in Radiology/Рентгенология Чат
взято с интернета
источник

K

Konstantin in Radiology/Рентгенология Чат
но, опять же, про очаговый фиброз - ни слова
источник

DD

Dr. David Livesey in Radiology/Рентгенология Чат
Ну, и не пишите. Зачем всякую дурь повторять за кем-то?
Теперь, когда патанатомический подход заменили матерными стеклами и обратными галлами, можно писать все .. 😂
источник

С

Сергей Март... in Radiology/Рентгенология Чат
Ну как это дурь, если имеете дело с мскт ,то наверно знаете ,что половина узелков вобще ниразу не вписывается в концепцию внутрилегочного лимфоузла, ни по форме ни по расположению. Фиброзные узелков полно, зачастую как исход неспецифических бронхиолитов
источник

С

Сергей Март... in Radiology/Рентгенология Чат
Ну из того же флейшнера
источник

С

Сергей Март... in Radiology/Рентгенология Чат
источник

DD

Dr. David Livesey in Radiology/Рентгенология Чат
Вот именно. Узелков фиброзных.
А фиброз м б. локальным, а не.. а, на фиг... Да здравствуют признаки, а не субстрат...
источник
2021 December 21

IA

Issayev Assan in Radiology/Рентгенология Чат
Здравствуйте. Как называется такая штука?
источник

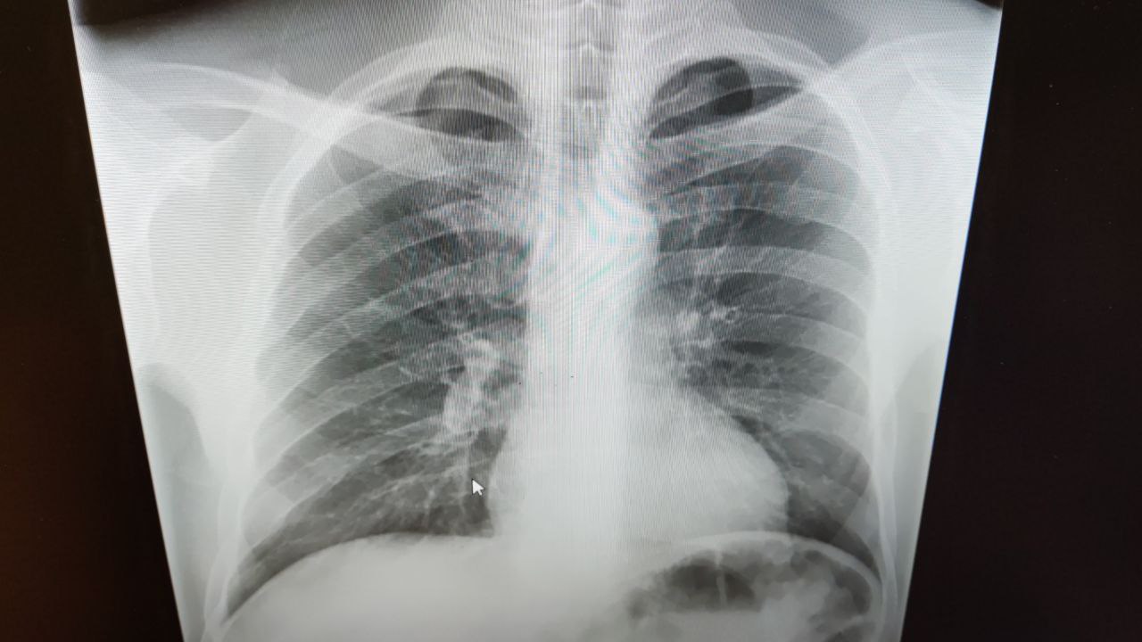
G

Gleb in Radiology/Рентгенология Чат
М45 лет, жалоб нет. Дыхание ослабленное, хрипов нет. Подскажите пожалуйста, что может быть
источник