Size: a a a

Нейрохирургия

2020 April 26
Нейрохирургия
источник
Нейрохирургия
источник
Нейрохирургия
источник
Нейрохирургия
источник
Нейрохирургия
источник
Нейрохирургия
источник
Нейрохирургия
источник
Нейрохирургия
источник
Нейрохирургия
источник
Нейрохирургия
источник
Нейрохирургия
источник
Нейрохирургия
источник
Нейрохирургия
источник
Нейрохирургия
Ну вот мы и приблизились к концу очередной недели. Из-за закрывшихся в городе больниц работы по специальности прибавилось. Но и слава Богу)) Всегда рады помочь там, где можем!
Операции пациентам с опухолями ЦНС в нашем отделении проводятся ежедневно, и в этой рутине не замечаются "обычные" случаи. И как-то давно я не сталкивался с глиомами, бросающими вызов хирургу. До этой...
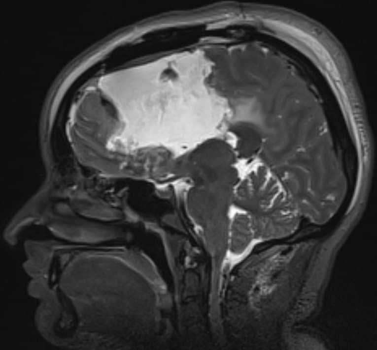
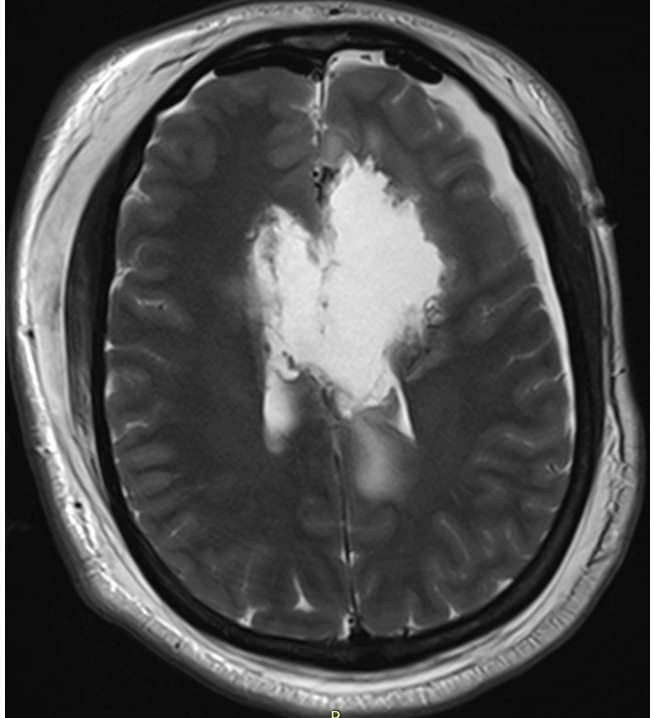
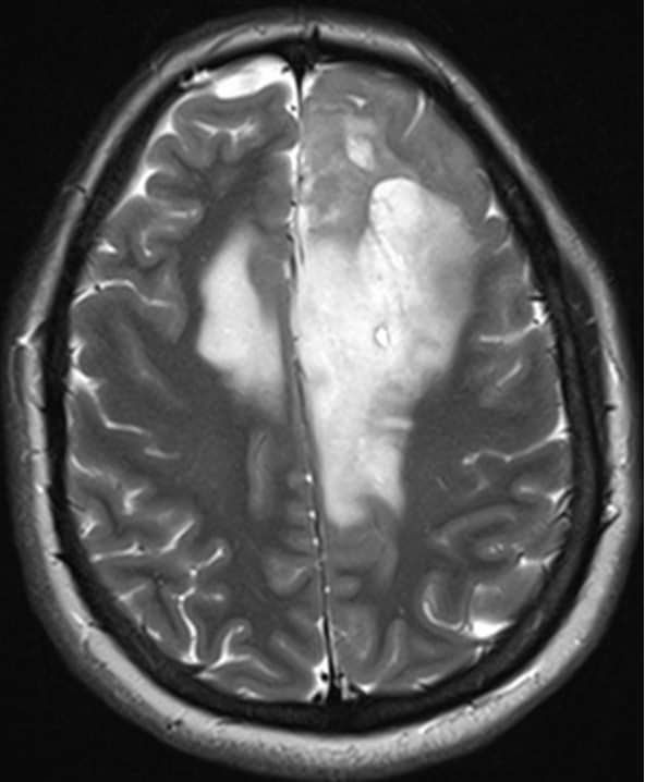
Чуть больше месяца назад в отделение поступила девушка 33 лет с жалобами на периодическую головную боль и однократный эпизод утраты сознания. При МРТ головного мозга выявлена большая опухоль обеих лобных долей с поражением мозолистого тела, размером 11,1х6,5х7,5см. (объем 283,3см3). Основной массив опухоли локализовался в левой лобной доле, подходя вплотную к зонам на коре, отвечающим за движения в правых конечностях и за произношение слов. В глубине опухоль находилась в непосредственной близости от речевых трактов и пирамидных трактов с двух сторон. Повреждение их могло привести к нарушениям речи или парализации пациентки. Мозолистое тело (структура, которая соединяет два полушария мозга между собой) было поражено опухолью на 75%. Разобщение полушарий (пересечение мозолистого тела) может привести к выраженным психическим нарушениям. В структуре опухоли проходили крупные сосуды, питающие до 30% полушарий. Все это делало предстоящую операцию действительно сложной. Так же напрягало еще то, что больную кроме умеренной головной боли ничего больше не беспокоило.
Обсудив все риски с пациенткой и ее родственниками мы выполнили операцию. Т.к. опухоль локализовалась вблизи речевых зон и трактов, операцию выполняли с пробуждением и общением с пациенткой во время удаления опухоли. Стимулируя каждый миллиметр коры и белого вещества головного мозга, мы выявили все функциональные (речевые и двигательные зоны и тракты, их соединяющие) зоны. Во время операции больная активно общалась с нашими помощниками нейролингвистами - Andrey Zyryanov и Гордеевой Елизаветой из команды Olga Dragoy. Сохранность важных мозговых структур отслеживала наш нейрофизиолог Мария Подгурская. Благодаря их помощи нам удалось удалить почти всю опухоль из обоих полушарий и мозолистого тела. Это заняло у нас 7 часов. Операционная бригада, помимо указанных специалистов, состояла из Ольга Вобликова, Алексей Димерцев, Кристина Ключникова, Алексей Корябочкин.
На послеоперационных МРТ видно, что опухоль удалена на 98,3%. Небольшой ее фрагмент в задних отделах пришлось оставить из-за прорастания ей двигательных зон.
Сразу после операции больная меня напугала - она не могла говорить и у нее развилась выраженная слабость в правых конечностях. Из имеющихся данных МРТ после операции мы быстро построили тракты. Оказалось, что все они сохранны (и речевые, и двигательные). Это успокоило и мы решили проводить консервативную терапию и ждать. Т.к. при удалении опухоли были резецированы премоторная кора, область лобного косого тракта, больной было трудно начать движение или начать говорить. К тому же полушария между собой связывались только через 25% мозолистого тела, что замедляло восстановление.
Через неделю после операции появились движения в правых конечностях, через две - она стала самостоятельно ходить и себя обслуживать, появились единичные слова. Больная переведена в реабилитационное отделение. Спустя месяц слабость в конечностях полностью регрессировала, речь восстановилась на 90%. Типичная картина для премоторного региона доминантного полушария. Думаю, что еще через месяц все нарушения исчезнут и пациентка сможет вернуться к нормальной жизни.
#neurosurgery #neuro #brainsurgery #braintumor #awakesurgery #нейрохирургия #нейро #операциянамозге #опухольмозга #нейрохирург #neurosurgeon #зуев #zuev #эпилепсия #хирургияэпилепсии #skullbase #skullbasesurgery #endoscopy #endoneurosurgery #основаниечерепа
источник
Нейрохирургия
источник
Нейрохирургия
источник
Нейрохирургия
@medicalbook_store 2020
FUNCTIONAL AND CLINICAL NEUROANATOMY
источник
Нейрохирургия
источник
Нейрохирургия
@MedicalEbooksLibrary 2015 Atlas of Human Brain Connections 1st Edition
SCANNED PDF
источник
Нейрохирургия
источник