Size: a a a

2019 May 02
NEURAHIM
В Голландии, в медицинском центре Утрехта, пациенту заменили всю черепную коробку на имплант, распечатанный на 3D-принтере.

По словам голландских нейрохирургов, это первая такая операция. 22 летняя пациентка была с гиперостозом краниальной части черепа (такой толщины я ни разу не видел, обязательно посмотрите) — утолщение кости черепной коробки, и без операции повреждения головного мозга были неминуемы. Решено было напечатать индивидуальный имплант, состоящий из двух частей, которых скрепили обычными тонкими пластинами.


https://vk.com/video52806625_456239139
источник
2019 May 03
NEURAHIM
Вы знали , что Сергей Павлович Королев был репрессирован за свою деятельность на Колыму. Там он потерял 13 зубов, ему сломали челюсть, потом не смогли сделать интубацию  на операционном столе ... Сколько он вынес и все-равно потом создал свои ракеты, космический корабль, реализовал первый полет Юрия Алексеевича Гагарина в космос и к какому успеху привёл страну ...

А его  первая жена Ксения Винцентини была хирургом - травматологом ... и это пару десятков  лет назад ... женщина , хирург, травматолог. И потом многие хирурги ей отказывали чтобы ассистировать из-за мужа ...

Это я к тому, что сейчас идёт все больше и больше тенденция девушек в Хирургии... знайте , все в Ваших руках , занимайтесь своим делом, но помните что у Вас должен быть определённый психотип 😏

Не бойтесь и уважайте себя.

(via https://vk.com/wall-121709040_833)
источник
2019 May 04
NEURAHIM
А вообще, где рекламные предложения? Я не кусаюсь. Не обижу. Давайте делать. Пишите @ibrablog
источник
2019 May 07
NEURAHIM
источник
NEURAHIM
источник
NEURAHIM
Привет! Не говорите потом, что я не показывал. В июне есть крутая тема, на которой вы обязательно должны побывать.

ОСНОВНЫЕ НЕЙРОХИРУРГИЧЕСКИЕ ДОСТУПЫ

Горячая насыщенная конференция с большими мастерами своего дела. Помимо Альберта Акрамовича курсом будет руководить Лучиано Мастронарди - главный нейрохирургического подразделения в Госпитале Сан Филиппо Нери (Рим). Это ученик самого Фукушимы. Как и его наставник, который вдоль и поперек разобрал всевозможные нейрохирургические доступы в своих золотых книжках, Мастронарди, естественно, тоже знает о чем говорит и показывает.

Кроме великолепного Мастронарди там точно будут профессор Ивер Лангмоем из Норвегии и профессор Луч Де Виеле из Бельгии. Могут быть еще несколько других (пока идут переговоры). В общем, клевые два дня, битком набитые и теорией, и практикой.

Где? - Федеральный центр нейрохирургии (г.Тюмень)
Когда? - 13-14 июня 2019.
Как? - первый день теория (лекции, живая хирургия), второй день - отработка практики на кадавере.
Сколько? - 30К (теория+мастер-класс) для нейрохирургов, половина от этой суммы для ординаторов и студентов. Если собрались посетить просто теорию - 2К (если вы студент - бесплатно, если вы ординатор, то половина от этой суммы).

Регистрация и другая инфа вот тут:
http://1nca.ru/plan-meropriyatij-na-2019/13-14-iyunya
источник
2019 May 10
NEURAHIM
Ну как выходные? С прошедшим всех. Будьте счастливы и пусть война не бушует, как вокруг, так и внутри вас.

Кстати, про психпроблемы, проблемы с двигательной сферой, эпилепсией, опухолями и дегенеративными заболеваниями ЦНС... Все это сейчас активно лечится ультразвуковыми волнами. Да-да, ультразвуковая хирургия! Как вам такое?

Рассказал про это и про её место в нейрохирургии: https://vk.com/@ibrablogs-neiroche-sfokusirovannyi-ultrazvuk-v-neirohirurgii-ili-ultra
источник
2019 May 11
NEURAHIM
Собрал в одном месте фильмы и сериалы про нейрохирургов https://vk.com/wall-39637389_7199

В комментариях можете написать что я забыл внести в список. Всем хороших оставшихся выходных.
источник
2019 May 16
NEURAHIM
Вышел документальный фильм про нашего главного врача и учителя Суфианова Альберта Акрамовича https://youtu.be/zbXAilnGjsg

Посмотрите. Олимпиадники, вас тоже там показали)
источник
2019 May 19
NEURAHIM
Нейробятаааааа!

Первый выпуск моего #ЗонаБрокаста уже вышел! Разговариваю с гостями и обсуждаю острые темы. Сегодня с гостем. Первым оказался Олег Титов.

Подробнее тут: https://vk.com/wall-39637389_7219
источник
2019 May 21
NEURAHIM
Написал при технику выполнения каротидной эндартерэктомии https://vk.com/wall-39637389_7232
источник
2019 May 26
NEURAHIM
​​2–3 апреля в стенах Федерального Центра Нейрохирургии (г. Тюмень) прошла вот уже вторая международная студенческая олимпиада по нейрохирургии, по результатам которой первое место заняла студентка 4 курса медицинского факультета Кабардино-Балкарского Государственного Университета — Мадина Бижева. Эта история примечательна тем, что Мадина, по сути, является первой в истории женщиной, выигравшей международную олимпиаду по нейрохирургии. Кроме всего прочего, она замужем и с двумя детьми. Как она готовилась, как пришла в нейрохирургию, и как ей удалось выиграть — вот об этом мы с ней и поговорили.

Читать далее: https://medach.pro/post/1959
источник
2019 May 27
NEURAHIM
Москва! Студенты и ординаторы! 1 июня хорошая тема для вас

https://vk.com/wall-172240596_190
источник
NEURAHIM
Вечером ждите пост!
источник
2019 May 28
NEURAHIM
Извините, вчера отключился, очень усталый был. Вот такая тема была вчера https://vk.com/wall-39637389_7267

До самого конца обязательно прочитайте. Пасяб.
источник
2019 May 29
NEURAHIM
По нейрореабилитации сегодня лекции в ФЦН.

Посмотрите прямой эфир: https://youtu.be/3WG_VQSWMXo

По этой же ссылке все будет доступно после.
источник
NEURAHIM
Вот вы копошитесь у себя в специализации и не смотрите что творится в общем в медицине. А ведь интересоваться большими событиями в мире медицины стоит, не говоря уже о том, что закапывание себя в свою уютную норку специализации все глубже и глубже это в корне неправильная тактика.

Поэтому, новости мировой медицины всегда должны быть под рукой. Подписка на журнал или газету? Пфф, нет. Подписка на один единственный канал.

Вот на этот: https://t.me/mednews_cis
источник
2019 May 30
NEURAHIM
В «Neurosurgery» опубликовали работу наших врачей. Большая работа, заслуживающая ваше внимание и студенты, и ординаторы, и аспиранты и уже практикующие врачи нейрохирургии.

Endoscopic Interhemispheric Disconnection for Intractable Multifocal Epilepsy: Surgical Technique and Functional Neuroanatomy

https://academic.oup.com/ons/advance-article/doi/10.1093/ons/opz121/5505378?guestAccessKey=0ab4fc16-5b00-4cf4-b269-af9284fcd66b
источник
2019 May 31
NEURAHIM
Те, кто вписался в Патреон - отпишитесь, пожалуйста. Говняри удалили мою страничку.
источник
2019 June 07
NEURAHIM
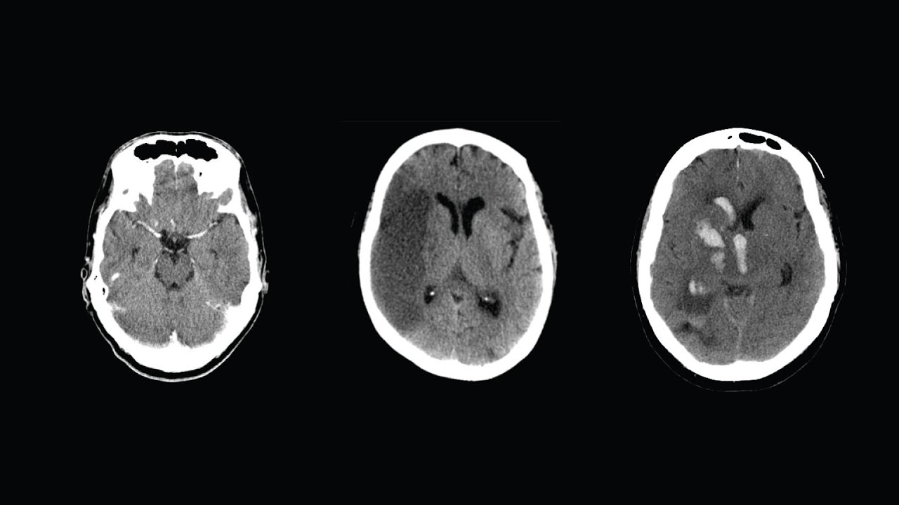
Правило, которое обязательно нужно соблюдать при оценке КТ головы: https://youtu.be/MlRsfpb40pA
источник